To save an image onto your computer, right click it and select "save as".
All images are copyright Magscope. They are released under the
Creative Commons Licence CC BY-NC-ND 3.0
You may download and use these images for non-profit purposes, but the notices on each image must remain intact.
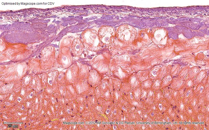
Micrograph of a myocardium section depicting the large Purkinje cells underneath the endocardium
Micrograph of a myocardium section depicting the large Purkinje cells underneath the endocardium
Disability awareness and educational equity: This image has been optimised for red-green colour blind observers who are often unable to differentiate the colours in histological slides, using methods described by Professors Landini and Perryer here.
High magnification image of Purkinje cells which are characterised by their large cytoplasm and low number of myofibrils
Disability awareness and educational equity: This image has been optimised for red-green colour blind observers who are often unable to differentiate the colours in histological slides, using methods described by Professors Landini and Perryer here.
Funding for the Slide Bank was generously provided by