To save an image onto your computer, right click it and select "save as".
All images are copyright Magscope. They are released under the
Creative Commons Licence CC BY-NC-ND 3.0
You may download and use these images for non-profit purposes, but the notices on each image must remain intact.
Micrograph of a kidney section illustrating the capsule, renal cortex, renal medulla, papilla, hilum and ureter
Low magnification image of the kidney cortex showing the capsule, renal tubules and glomeruli
Disability awareness and educational equity: This image has been optimised for red-green colour blind observers who are often unable to differentiate the colours in histological slides, using methods described by Professors Landini and Perryer here.
Low magnification image of the kidney cortex outer medulla
Disability awareness and educational equity: This image has been optimised for red-green colour blind observers who are often unable to differentiate the colours in histological slides, using methods described by Professors Landini and Perryer here.
Low magnification image of the renal medulla
Disability awareness and educational equity: This image has been optimised for red-green colour blind observers who are often unable to differentiate the colours in histological slides, using methods described by Professors Landini and Perryer here.
Low magnification micrograph of the ducts of Bellini within the renal papilla
Disability awareness and educational equity: This image has been optimised for red-green colour blind observers who are often unable to differentiate the colours in histological slides, using methods described by Professors Landini and Perryer here.
Transversal section of the ureter showing transitional epithelium lining the lumen
Disability awareness and educational equity: This image has been optimised for red-green colour blind observers who are often unable to differentiate the colours in histological slides, using methods described by Professors Landini and Perryer here.
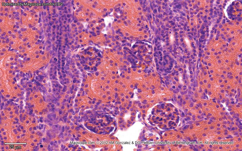
High magnification image of the renal cortex illustrating corpuscles, glomeruli, proximal and distal tubules and collecting tubules
Disability awareness and educational equity: This image has been optimised for red-green colour blind observers who are often unable to differentiate the colours in histological slides, using methods described by Professors Landini and Perryer here.
High magnification image of the renal cortex illustrating the differential morphology and staining characteristics of tubules and ducts
Disability awareness and educational equity: This image has been optimised for red-green colour blind observers who are often unable to differentiate the colours in histological slides, using methods described by Professors Landini and Perryer here.
High magnification image of the renal medulla just below the corticomedullary junction
Disability awareness and educational equity: This image has been optimised for red-green colour blind observers who are often unable to differentiate the colours in histological slides, using methods described by Professors Landini and Perryer here.
High magnification image of the ducts of Bellini in the renal papilla
Disability awareness and educational equity: This image has been optimised for red-green colour blind observers who are often unable to differentiate the colours in histological slides, using methods described by Professors Landini and Perryer here.
Funding for the Slide Bank was generously provided by